Contact Us


TECHNICAL SUPPORT

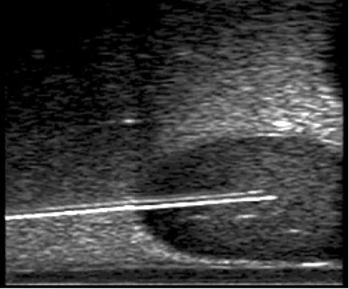
Needle Penetration of the Prostate Gland
  • The natural dynamic behaviour of the prostate gland phantom when punctured by the needle.
  • Needle Reverberation (echo) occurs when the beam of sound waves is directed along the long axis of a hollow needle. Reverberation occurs within the core of the needle, resulting in the appearance of ' several needles' in the ultrasound image.
  • The true needle is the one closest to the ultrasound probe ( the lowermost one).
Needle Tracks in a Phantom

In the prostate gland image above, it is easy to distinguish between the penetrating needle and the old needle tracks:

  • The penetrating needle is very bright
  • The old tracks are partial and faint

OUR CLIENTS